Transform Your Surgical Precision

Regrow lost tissue and restore smile and confidence!

12 CE - Friday July 17, 2026 through Saturday July 18, EST.
Register Now!

Join world-renowned experts Dr. Michael Sonick and Dr. Shankar Iyer for a deep dive into the latest techniques for predictable gingival regeneration and ideal esthetic results.

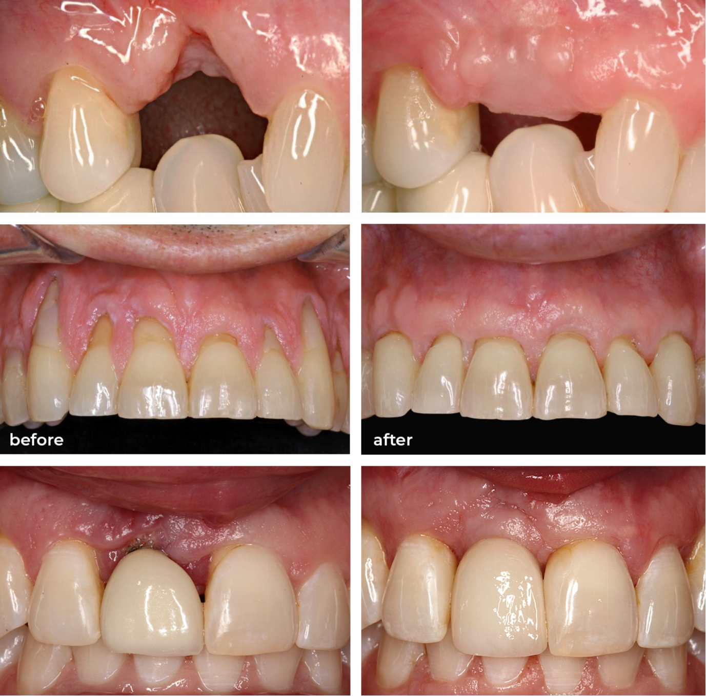
Crafted to Meet Your Needs

Our curriculum is designed to provide a comprehensive overview of the latest techniques and materials in mucogingival therapy.

You will learn how to:

  • Achieve Ideal Gingival Esthetics: Master the principles of smile design and learn how to create harmonious and natural-looking gingival contours.
  • Perform Advanced Gingival Augmentation: Gain hands-on experience with a variety of techniques, including free gingival grafts, subepithelial connective tissue grafts, and tunneling procedures.
  • Utilize a Range of Materials: Understand the applications and benefits of autogenous tissues, allografts, and xenografts, including acellular dermal matrices (ADM) and porcine xenografts.
  • Develop Optimal Pontic Sites: Learn the principles of pontic site design and development to create esthetic and functional restorations.
  • Regenerate Papilla: Explore advanced techniques for regenerating lost interdental papilla.
  • Manage Second-Stage Implant Surgery: Master guided gingival growth and palatal approaches for optimal esthetic outcomes around dental implants.
DOWNLOAD THE BROCHURE

Clinical TrainingĀ 

This comprehensive, hands-on program will equip you with the skills and knowledge to tackle a wide range of mucogingival challenges. Through a combination of in-depth lectures and practical exercises on pig jaws, you will gain a thorough understanding of the latest approaches to gingival augmentation, root coverage, and site development.

Courses on Hospitality and Clinical Excellence

Join Us

Looking for a Mentorship Group?

Click Here

Contact Us

Thank you for your interest in having Dr. Sonick speak at your event! Please fill out this form below, and somebody from our team will be in touch.