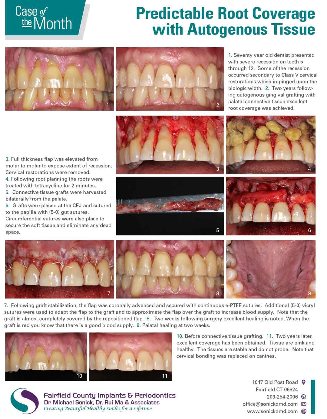
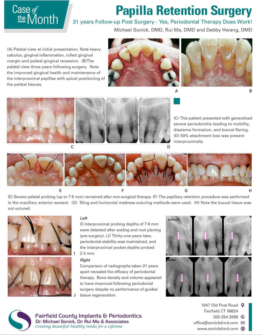
Case of the Month
WARNING — Explicit content for medical professionals. The following text, images and visual data have explicit content of a surgery. The intended audience is medical professionals. These individuals are mature adults who intend to use the information to improve their knowledge and to help patients. For those who are not in the aforementioned group, please stop reading and go back to the home page.
If you are interested in more cases of the month for periodontics and implant dentistry in Fairfield, Connecticut, contact Fairfield County Implants and Periodontics, LLC at 203-254-2006 today to talk to our dentists, Dr. Michael Sonick, Dr. Rui Ma or Dr. Stephanie Koo.


















